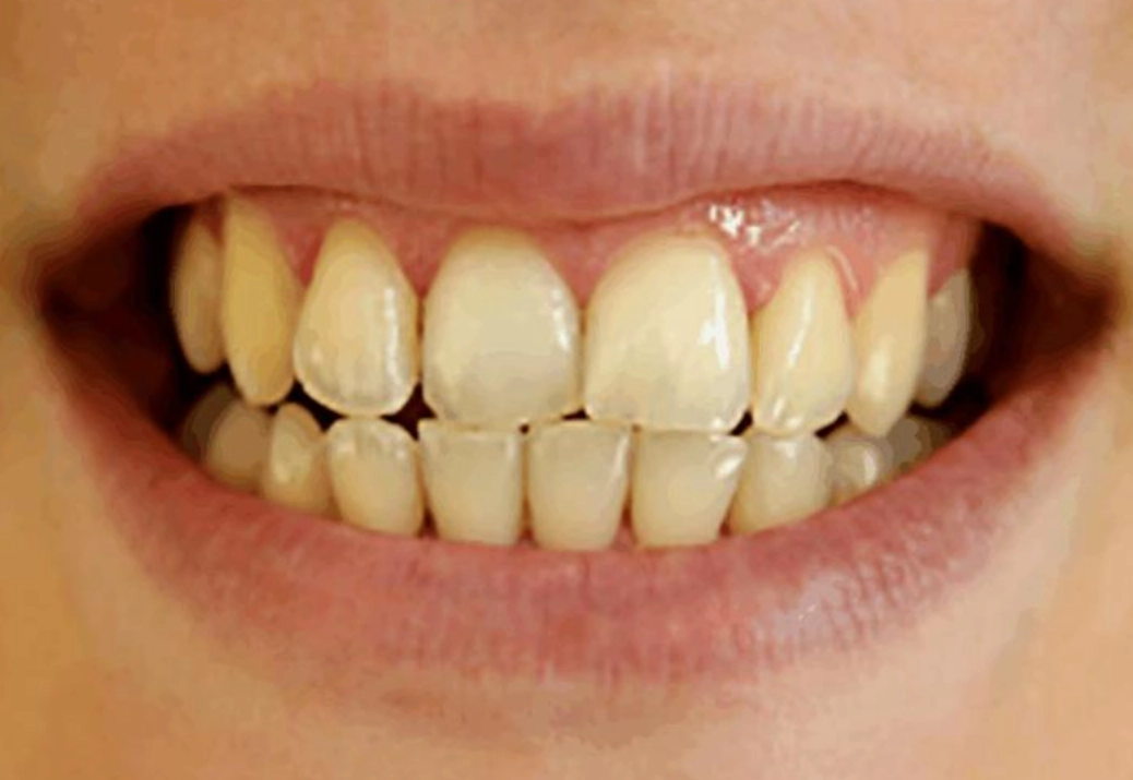
如果你從小就覺得牙齒比別人黃,拍照不敢露齒笑,那很可能就是天生牙齒黃。這不是你的錯,但確實讓人困擾。好消息是,就算天生牙黃,還是有辦法改善。我花了幾年時間研究,也諮詢過牙醫,這裡把實用方法整理給你,從成因到解決方案一次說清楚。
快速導覽:這篇文章你會學到什麼
天生牙黃的真正原因是什麼?
很多人以為牙黃只是刷牙不乾淨,但天生牙黃跟後天染色完全不同。根據美國牙科協會的資料,牙齒顏色主要取決於牙本質,外層牙釉質是半透明的。如果你的牙本質天生就偏黃,或者牙釉質比較薄,透出底下顏色,牙齒看起來就會黃。
我朋友阿明就是典型例子。他每天刷牙三次,還是被說牙黃,後來牙醫告訴他,這是基因決定的。牙本質顏色從乳牙時期就定了,有些人偏白,有些人偏黃。另外,牙釉質發育過程如果受影響,比如小時候服用過四環黴素類藥物,也可能導致永久性染色。
關鍵點: 天生牙黃不是污垢,而是牙齒結構本身的顏色。所以傳統刷牙很難改變,需要針對性的美白方法。
如何判斷你的牙黃是天生還是後天?
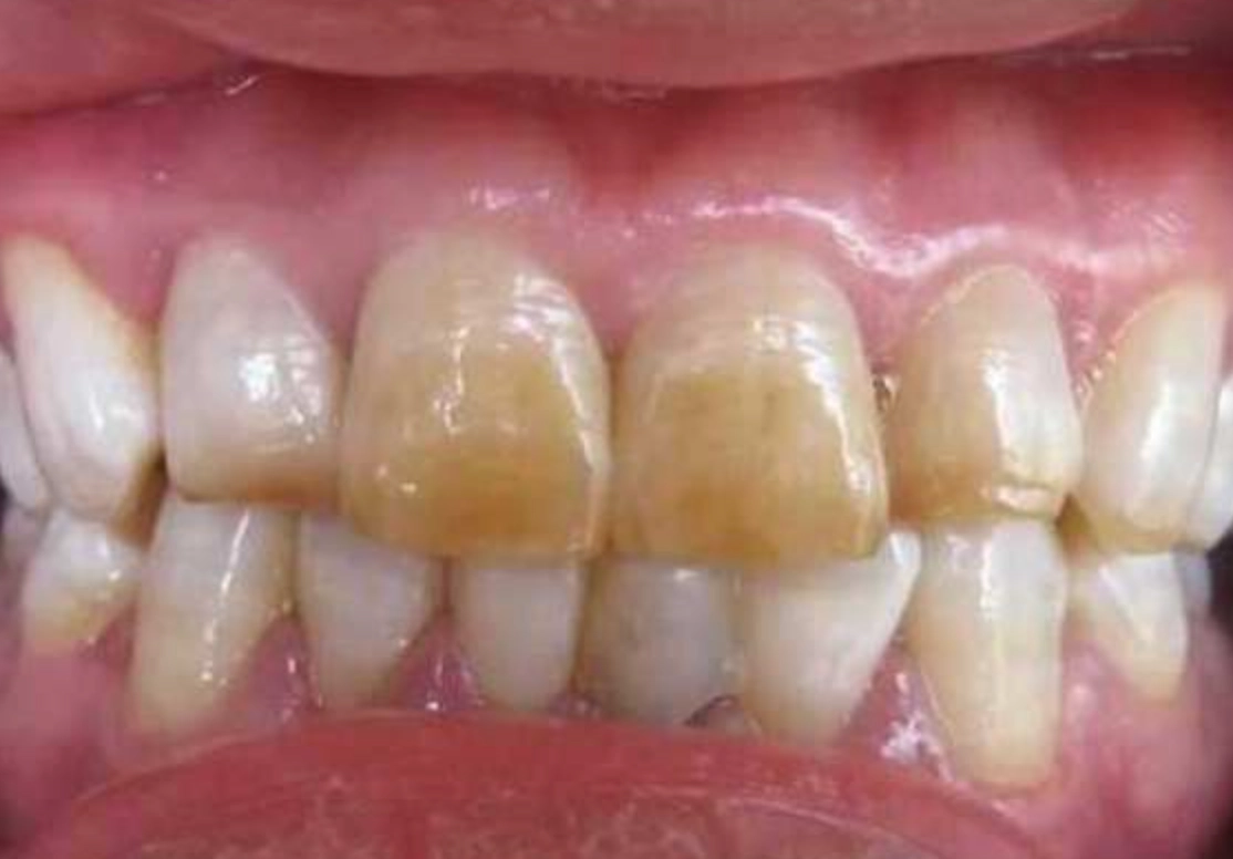
你可以做個簡單測試。看看牙齒靠近牙齦的部分,如果那裡顏色均勻偏黃,而牙齒表面沒有咖啡、茶漬的斑點,那很可能就是天生黃。後天染色通常集中在牙縫或咬合面,而且顏色不均勻。
另一個方法是回想小時候。如果換牙後新牙就一直黃,那大概率是天生的。我記得自己國中時就發現門牙比同學黃,那時還拼命用美白牙膏,效果有限。
牙醫怎麼診斷?
牙醫會用比色板對照,判斷牙齒色階。他們也可能詢問家族史,因為天生牙黃常有遺傳傾向。如果牙釉質有缺陷,比如琺瑯質發育不全,牙醫一眼就能看出來。
5種有效美白方法比較表格
針對天生牙黃,不同方法效果差異很大。我整理了一個表格,幫你快速了解優缺點。
| 方法 | 適合程度 | 效果持續時間 | 大致費用(新台幣) | 注意事項 |
|---|---|---|---|---|
| 冷光美白(牙醫診所) | 高,針對牙本質黃 | 1-3年 | 15,000 - 30,000 | 需專業操作,術後可能敏感 |
| 居家美白套組(牙醫訂製) | 中高,需耐心使用 | 6個月 - 2年 | 8,000 - 15,000 | 需配合牙托,每天使用數小時 |
| 美白牙貼(市售) | 中,對輕微黃有效 | 數週 - 數月 | 500 - 2,000 | 可能刺激牙齦,效果有限 |
| 美白牙膏 | 低,主要維持 | 暫時性 | 200 - 800 | 無法改變牙本質顏色 |
| 陶瓷貼片 | 極高,完全覆蓋 | 10年以上 | 20,000 - 60,000/顆 | 費用高,需修磨牙齒 |
從表格可以看出,對於天生牙黃,冷光美白和居家美白套組是較有效的選擇。美白牙膏頂多去除表面染色,對牙本質黃幫助不大。
牙醫診所美白療程詳細指南
如果你預算足夠,想快速見效,牙醫診所的冷光美白是首選。我去年做過一次,過程大約一個半小時。
首先,牙醫會檢查牙齒健康,確保沒有蛀牙或牙周病。然後塗上保護牙齦的凝膠,再塗美白劑在牙齒上,用藍光照射。藍光能活化美白劑,深入牙本質分解色素。術後牙齒會變白好幾個色階。
但這裡有個非共識觀點:很多人以為冷光美白一勞永逸,其實不是。牙醫跟我說,天生黃牙的人,美白後顏色可能慢慢回彈,因為牙本質底色還在。所以術後保養很重要,要避免染色食物,比如咖啡、紅酒。
療程費用與診所選擇
在台灣,冷光美白費用約1.5萬到3萬新台幣,依診所和地區不同。建議找有口碑的牙醫診所,比如台北的幾家知名牙科,他們通常使用FDA認證的美白劑,比較安全。不要貪便宜去美容工作室,風險很高。
我當時在台中找了一家牙醫,費用2萬,效果還不錯。但術後一週牙齒有點敏感,這是正常現象,用抗敏感牙膏就能緩解。
居家美白產品推薦與使用技巧
不是每個人都有時間或預算去診所,居家美白是個折衷方案。但市面產品五花八門,怎麼選?
我試過三種主流產品:美白牙貼、居家美白套組、美白筆。老實說,美白牙貼對天生黃牙效果普通,它主要針對表面染色。如果你牙本質黃,牙貼的美白劑濃度低,很難滲透。
牙醫訂製的居家美白套組 效果更好。牙醫會取模做專屬牙托,搭配較高濃度的美白凝膠。你每天戴幾小時,持續一兩週。費用比冷光美白低,但需要自律。我朋友用了兩個月,牙齒白了三個色階,但她說牙齦偶爾會刺激。
這裡推薦一個技巧:使用前先塗一點凡士林在牙齦上,可以減少刺激。另外,美白凝膠別塗太多,溢出牙托反而傷牙齦。
產品實測心得
我買過某美國品牌的美白牙貼,一盒大概800元。用了一週,牙齒亮了一點,但黃底色還在。後來牙醫說,這種產品對後天染色有用,對天生黃效果有限。所以如果你決定居家美白,最好先諮詢牙醫,選對產品。
日常保養與預防措施
美白後,維持成果更重要。天生黃牙的人,牙齒更容易顯黃,所以日常保養要更細心。
飲食方面: 減少咖啡、茶、紅酒、醬油等深色食物。如果喝了,馬上用清水漱口,但別立刻刷牙,因為牙釉質暫時軟化,刷牙可能磨損。等半小時再刷。
刷牙習慣: 用軟毛牙刷,避免過度用力。牙膏可以選含氟的抗敏感牙膏,保護牙釉質。我現在用一款日本品牌,感覺牙齒敏感改善很多。
還有一點很少人提:定期洗牙。牙結石堆積會讓牙齒看起來更黃,每半年洗一次牙,保持牙齒乾淨。洗牙也能讓牙醫檢查美白狀況,及時調整。
個人經驗: 我自從調整飲食和刷牙方式後,牙齒顏色維持得更好。以前每天兩杯咖啡,現在改喝淺色飲料,差別很大。
常見問題解答
總結來說,天生牙齒黃不是絕症,但需要對症下藥。從牙醫診所療程到居家保養,找到適合自己的方法,就能改善笑容。記得,美白前先諮詢牙醫,確保牙齒健康,才能安全變白。