我記得朋友阿明去年跟我抱怨,他刷牙時牙齦老是流血,以為是火氣大,喝了幾天青草茶也沒用。結果拖了半年,牙醫告訴他牙周病已經中度,得做深層治療,花了好幾萬還受罪。如果你牙齦一直流血,別輕忽,這不是小事。我問了當牙醫的同學,他直接說,九成案例都是口腔清潔出問題,但很多人拖到牙齒鬆動才來,後悔都來不及。這篇文章,我會分享專業牙醫的建議,從原因、處理到預防,一步步教你搞定。
這篇文章你會學到什麼?
牙齦流血的五大常見原因:不只是刷牙太用力
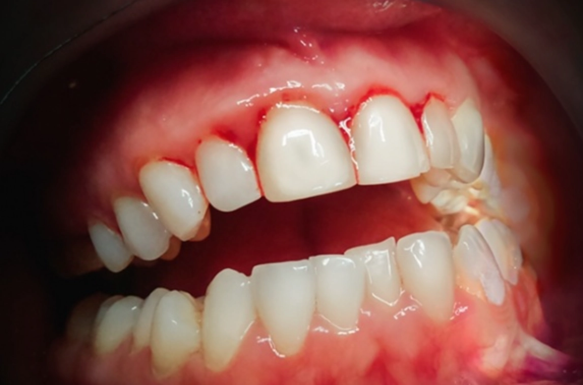
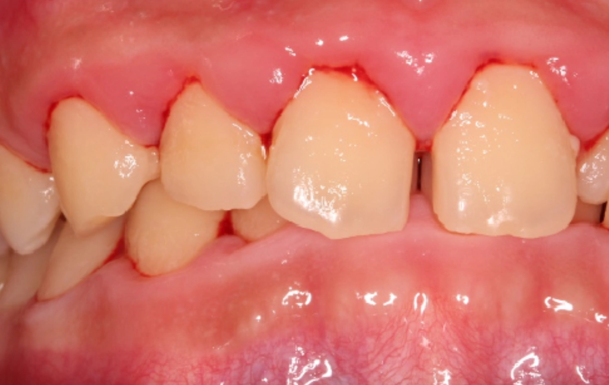
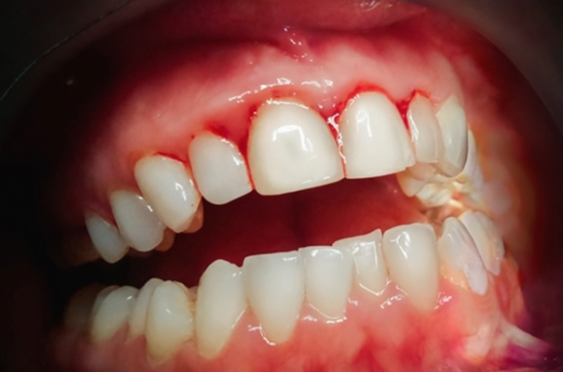
很多人以為牙齦流血就是牙刷太硬或刷牙力道大,但根據台灣牙科醫學會的資料,這只是冰山一角。我牙醫同學說,門診裡最常見的誤解是,患者覺得流血是正常現象,結果延誤治療。下面這表格整理了幾種主要原因,你可以對照看看。
| 原因類型 | 具體說明 | 發生頻率 |
|---|---|---|
| 牙菌斑堆積 | 食物殘渣形成細菌薄膜,導致牙齦發炎,這是牙周病初期。我常看到患者刷牙隨便帶過,牙縫根本沒清。 | 高(約70%案例) |
| 刷牙方式錯誤 | 不是力道大就好,角度不對或牙刷太硬,反而傷害牙齦。有人用硬毛牙刷猛刷,覺得這樣才乾淨,其實大錯。 | 中 |
| 牙周病進展 | 如果牙齦炎沒處理,會變成牙周病,牙齦流血伴隨腫痛、口臭。這時牙齦可能萎縮,牙齒開始搖。 | 中高 |
| 荷爾蒙變化 | 懷孕、生理期時,牙齦容易敏感流血。這不是病,但需更注意清潔。 | 低 |
| 全身性疾病 | 糖尿病、血友病或服用抗凝血藥,可能影響凝血功能。我遇過一位糖尿病患者,牙齦流血一直不好,後來才發現血糖沒控制。 | 低 |
看到這裡,你可能會想,那我到底是哪一種?我牙醫同學分享一個簡單判斷法:如果流血只在刷牙時發生,而且牙齦看起來紅腫,八成是牙菌斑問題;如果連吃蘋果或輕輕碰到都流血,那可能牙周病已經不輕了。
牙菌斑怎麼形成?一個被忽略的細節
牙菌斑不是一天造成的。它像一層黏黏的薄膜,附著在牙齒和牙齦邊緣,如果你刷牙沒刷乾淨,尤其牙縫和牙齦溝,細菌就會滋生。我自己的經驗是,以前懶得用牙線,結果牙齦經常流血,後來牙醫教我用牙間刷,情況才好轉。
很多人用漱口水代替刷牙,這根本沒用。漱口水只能暫時減少細菌,無法去除牙菌斑。牙醫同學搖頭說,這是他最常糾正的錯誤之一。
在家就能做的緊急處理5步驟:別再亂用偏方
當你發現牙齦流血,第一步不是恐慌。我整理牙醫建議的5個步驟,照著做,通常能緩解輕微症狀。但記住,這只是暫時處理,如果沒改善,一定要看醫生。
步驟一:改用軟毛牙刷,溫和刷牙
立刻換掉硬毛牙刷。軟毛牙刷能減少對牙齦的刺激,刷牙時用貝氏刷牙法,角度對準牙齦和牙齒交界處,輕輕畫圓。力道多輕?想像你在擦貴重的玻璃,而不是刷鍋子。
步驟二:鹽水漱口,減輕發炎
一杯溫水加半茶匙鹽,每天漱口兩到三次。鹽水有輕微殺菌和消腫效果,我牙醫同學說,這比用市售漱口水更安全,尤其對敏感牙齦。但別用太濃,以免刺激。
步驟三:徹底清潔牙縫
牙縫是牙菌斑溫床。用牙線或牙間刷,每天至少一次。我發現很多人牙線用法錯誤,不是拉鋸式,而是貼著牙面上下刮。如果你牙縫大,牙間刷更好用。
步驟四:避免刺激食物
暫時別吃太熱、太辣或太硬的食物,像麻辣鍋、堅果這些。它們可能加重牙齦出血。多喝水,保持口腔濕潤。
步驟五:觀察一週
執行這些步驟後,觀察一週。如果流血減少或停止,那可能是輕微問題;如果沒變化或更嚴重,別等了,直接預約牙醫。
我朋友試過這5步驟,他說流血情況好多了,但後來還是去洗牙,因為牙結石自己清不掉。
何時必須看牙醫?這些危險信號別拖延
牙齦流血拖久了,後果可能很嚴重。我牙醫同學講過一個案例,患者拖到牙齒鬆動才來,最後得拔牙做植牙,花錢又受罪。下面這些信號,只要出現一個,就該去看牙醫。
- 流血持續超過一週:即使改善刷牙,還是流血,這表示問題不是表面清潔能解決。
- 牙齦腫痛或化膿:如果牙齦腫起來,按壓會痛,甚至流膿,可能是急性牙周感染。
- 牙齒鬆動或移位:牙齒感覺搖晃,或者牙縫變大,這暗示牙周組織已受損。
- 口臭無法消除:嚴重口臭伴隨流血,常是牙周病細菌作祟。
- 全身性症狀:如發燒、疲勞,可能感染擴散。
什麼時候看牙醫最好?我建議早上,因為牙齦流血在早上較明顯,牙醫容易診斷。別挑剛吃完飯或喝咖啡後,以免影響檢查。
就醫流程:第一次看診會發生什麼?
很多人怕看牙醫,其實沒那麼可怕。通常牙醫會先問診,了解你的刷牙習慣、病史,然後做口腔檢查,用探針測量牙周囊袋深度。如果深度超過3毫米,就可能需要進一步治療。我第一次去時,牙醫還拍了X光,看牙骨有沒有流失。
費用方面,在台灣,健保給付基本洗牙和檢查,但如果需要深層治療,可能得自費。根據衛生福利部資料,牙周病治療自費部分從幾千到幾萬台幣不等,取決於嚴重程度。
牙醫的專業治療方法解析:從洗牙到手術
如果診斷出牙周病,牙醫會根據情況建議治療方式。別怕,早期治療通常很簡單。我牙醫同學解釋,治療目標是去除病因,讓牙齦恢復健康。
1. 牙結石清除(洗牙)
這是基礎治療,用超音波器械震掉牙結石。健保給付每半年一次。洗牙後牙齦可能暫時更敏感,但一兩天就好。我每年洗兩次,流血問題少很多。
2. 牙根整平術
如果牙周囊袋較深,牙醫會做深層清潔,刮除牙根表面的牙菌斑和結石。這需要局部麻醉,過程有點不舒服,但能有效控制病情。我朋友做過,他說術後得用漱口水輔助清潔。
3. 牙周手術
對於嚴重案例,如牙齦萎縮或骨頭流失,可能需要手術,如牙齦翻瓣術或骨移植。這是最後手段,費用較高,恢復期也長。
治療後,牙醫會教導維護方法,比如使用特殊牙刷或漱口水。我發現很多人治療完就鬆懈,結果復發,所以後續保養很重要。
預防牙齦流血的長期保健計畫:讓問題不再復發
預防永遠比治療簡單。我從牙醫那裡學到一套保健計畫,執行半年後,牙齦幾乎不再流血。分享給你,關鍵是持之以恆。
每日清潔清單:
- 早上和睡前刷牙,每次至少兩分鐘,用軟毛牙刷和含氟牙膏。
- 每天用牙線或牙間刷清潔牙縫一次,我偏好牙間刷,因為它更能深入。
- 飯後用清水漱口,如果吃甜食,最好刷牙。
飲食調整:
多吃富含維生素C的食物,如芭樂、奇異果,能強化牙齦組織。減少糖分攝取,糖是細菌的最愛。我戒掉含糖飲料後,牙齦健康明顯改善。
定期檢查:
每半年洗牙一次,並讓牙醫檢查口腔狀況。這就像車子定期保養,能及早發現問題。我設定手機提醒,免得忘記。
生活習慣:
戒菸,因為吸菸會惡化牙周病。壓力大時,牙齦也容易發炎,所以適度運動和休息很重要。我嘗試冥想,對減少牙齦敏感有幫助。
最後,別迷信偏方。有人用鹽巴直接擦牙齦,這反而會傷害組織。我牙醫同學說,最有效的還是正確清潔和專業照顧。
總之,牙齦一直流血不是小事,但也不用過度恐慌。從今天起,檢視你的刷牙習慣,必要時尋求專業幫助。健康牙齦是幸福生活的基礎,別讓小問題變成大麻煩。