你是不是有時候刷牙會發現牙齦流血,或者照鏡子時覺得牙齒好像變長了?這可能是牙齦萎縮的跡象。別慌,很多人都有這個問題,今天我就來跟你聊聊牙齦萎縮怎麼辦,從根本原因到實際解決方法,一步一步帶你了解。我自己也曾經遇過類似情況,那時候還以為是小事,結果拖到後來變嚴重,才後悔沒早點處理。所以,這篇文章會分享很多實用資訊,幫你避免走彎路。
牙齦萎縮怎麼辦?首先,我們得知道它是什麼。牙齦萎縮就是牙齦組織從牙齒表面退縮,讓牙根露出來。這不只是美觀問題,還可能導致牙齒敏感、蛀牙,甚至牙齒鬆動。我記得第一次聽牙醫說我可能有輕微牙齦萎縮時,我還傻傻地問是不是牙齦變少了,醫生笑著說不是,是它往後退了,就像海岸線退潮一樣。
什麼是牙齦萎縮?
牙齦萎縮,簡單來說,就是你的牙齦邊緣慢慢向牙根方向移動,讓更多牙齒表面暴露出來。這通常是一個漸進的過程,很多人一開始都沒注意到,直到症狀變明顯。為什麼會這樣?可能是因為刷牙太用力、牙周病,或者遺傳因素。我朋友就是個例子,他刷牙像在刷地板一樣用力,結果牙齦就開始萎縮了。醫生告訴他,這其實可以預防的,只要早點改變習慣。
你知道嗎?牙齦萎縮如果不處理,可能會讓牙齒看起來更長,甚至影響咬合。這不是嚇唬你,而是真實的風險。所以,如果你在問牙齦萎縮怎麼辦,第一步就是認清問題。
牙齦萎縮的常見原因
為什麼牙齦會萎縮?原因很多,有些你可能根本沒想到。比如,刷牙太用力就是個大問題,很多人以為用力刷才乾淨,其實反而傷害牙齦。另外,牙周病也是常見元兇,細菌感染會導致牙齦發炎和退縮。遺傳也挺常見的,如果家裡有人牙齦問題多,你可能也得小心。
| 原因 | 詳細描述 | 發生機率 |
|---|---|---|
| 刷牙太用力 | 使用硬毛牙刷或過度用力,會磨損牙齦組織,導致萎縮。我曾經也這樣,後來改用軟毛牙刷才好轉。 | 高 |
| 牙周病 | 細菌感染引起牙齦發炎,長期下來牙齦會退縮。 | 中高 |
| 遺傳因素 | 家族中有牙齦問題的人,風險較高。 | 中 |
| 不良口腔習慣 | 如吸煙、磨牙等,會加速牙齦萎縮。 | 中 |
| 牙齒排列不齊 | 牙齒擁擠或錯位,清潔不易,容易積聚牙菌斑。 | 中低 |
看到這些原因,你是不是有點驚訝?我當初也是,沒想到簡單的刷牙習慣會這麼重要。牙齦萎縮怎麼辦?先從檢查自己的日常行為開始吧。
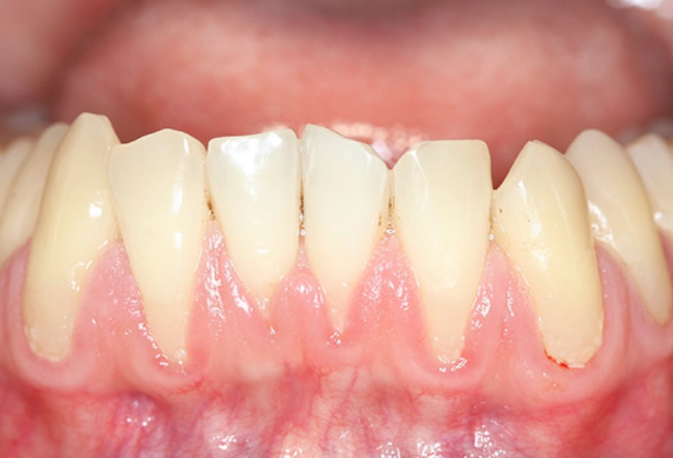
牙齦萎縮的症狀與診斷
如果你不確定自己有沒有牙齦萎縮,可以看看以下症狀:牙齒視覺上變長、牙根暴露、刷牙時容易出血、牙齒對冷熱敏感等。這些症狀可能一開始很輕微,但隨著時間會加重。診斷方面,通常需要牙醫幫忙,他們會用探針測量牙齦深度,檢查是否有發炎或退縮。
常見症狀列表
- 牙齒看起來比以前長:這是最直觀的跡象,我朋友就是因為這個才去看醫生。
- 牙根可見:正常情況下牙根是被牙齦覆蓋的,如果露出來,可能就是萎縮了。
- 牙齦紅腫或出血:尤其在刷牙或用牙線時。
- 對冷熱食物敏感:因為牙根暴露,神經更容易受刺激。
- 牙齒感覺鬆動:嚴重時可能影響牙齒穩定性。
牙齦萎縮怎麼辦?當你發現這些症狀時,別拖,盡快找專業牙醫檢查。我自己有次拖了半年,結果治療起來更麻煩,費用也更高。
牙齦萎縮的治療方法
治療牙齦萎縮的方法很多,從簡單的家庭護理到複雜的手術都有。選擇哪種方法,要看萎縮的程度和原因。下面我用表格來總結常見的治療選項,這樣你比較好比較。
| 治療方法 | 描述 | 優點 | 缺點 |
|---|---|---|---|
| 牙根覆蓋手術 | 使用自體組織或人工材料覆蓋暴露的牙根,保護牙齒。 | 效果持久,可以改善美觀。 | 價格較高,恢復期長。 |
| 牙齦移植 | 從口腔其他部位取組織移植到牙齦區域。 | 能有效恢復牙齦高度。 | 手術風險,可能不適合所有人。 |
| 藥物治療 | 使用抗生素漱口水或藥膏控制感染和發炎。 | 便宜且方便。 | 只能緩解症狀,無法根治。 |
| 雷射治療 | 使用雷射技術去除感染組織,促進牙齦再生。 | 創傷小,恢復快。 | 費用中等,效果因人而異。 |
我個人試過藥物治療,剛開始覺得有點效,但後來發現如果習慣不改,問題還是會回來。手術雖然聽起來可怕,但對於嚴重情況,它可能是必要的。牙齦萎縮怎麼辦?關鍵是根據個人情況選擇合適的方法。
記得,治療前一定要諮詢牙醫,他們會根據你的狀況給建議。別自己亂試偏方,我見過有人用鹽水漱口想治療,結果反而刺激牙齦,讓情況更糟。
如何預防牙齦萎縮?
預防永遠比治療來得簡單和省錢。牙齦萎縮怎麼辦?從日常習慣做起,可以大大降低風險。以下是一些實用建議,我把它們列成清單,方便你參考。
- 使用軟毛牙刷:硬毛牙刷容易傷害牙齦,我現在都用電動牙刷,它有壓力感應,提醒我別太用力。
- 定期看牙醫:建議每半年做一次檢查和清潔,及早發現問題。
- 避免吸煙和過量飲酒:這些習慣會加重牙周問題。
- 正確使用牙線:每天用牙線清除牙縫中的牙菌斑,減少發炎機會。
- 均衡飲食:多吃富含維生素C的食物,如橙子、草莓,幫助牙齦健康。
你知道嗎?我曾經因為工作忙,忽略口腔護理,結果牙齦萎縮變明顯。後來養成這些習慣,情況就穩定多了。預防牙齦萎縮怎麼辦?其實不難,只要持之以恆。
常見問答
牙齦萎縮可以恢復嗎?
這要看萎縮的程度。輕微的牙齦萎縮,通過改善口腔衛生和習慣,可以停止惡化,甚至有些微改善。但嚴重的萎縮,可能無法完全恢復,只能透過手術改善。牙齦萎縮怎麼辦?早期行動最重要,別等到不可逆才後悔。
刷牙太用力會導致牙齦萎縮嗎?
是的,這是很常見的原因。很多人以為用力刷才乾淨,其實反而適得其反。建議改用軟毛牙刷或電動牙刷,並學習正確刷牙方法。
牙齦萎縮治療費用多少?
費用因方法和地區而異。在台灣,牙根覆蓋手術可能從台幣幾千元到上萬元不等。具體費用最好直接問牙醫,因為它取決於萎縮範圍和所用材料。我朋友做過一次,花了約一萬元,但他說效果不錯。
牙齦萎縮會自己好嗎?
通常不會。牙齦萎縮是一個漸進過程,如果不介入,可能會持續惡化。牙齦萎縮怎麼辦?別指望它自動復原,主動處理才是上策。
有哪些家庭護理方法可以幫助牙齦萎縮?
你可以嘗試使用溫和漱口水、避免刺激性食物,並定期自我檢查。但記住,家庭護理只能輔助,不能替代專業治療。
總之,牙齦萎縮怎麼辦?從了解原因到採取行動,每一步都很重要。我希望這篇文章能給你實用的幫助,如果你有更多問題,歡迎在下面留言討論。保護牙齦健康,從今天開始吧!
我自己從經歷中學到,口腔問題不能輕忽。牙齦萎縮怎麼辦?它不是絕路,只要用對方法,就能有效管理。別讓小問題變成大麻煩,行動起來吧。